










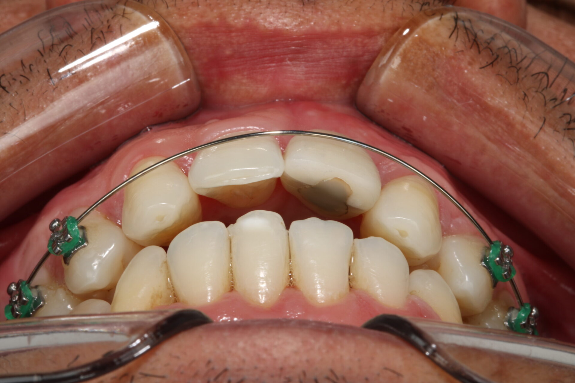
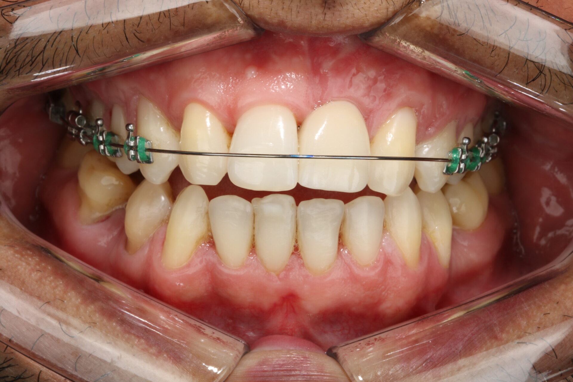
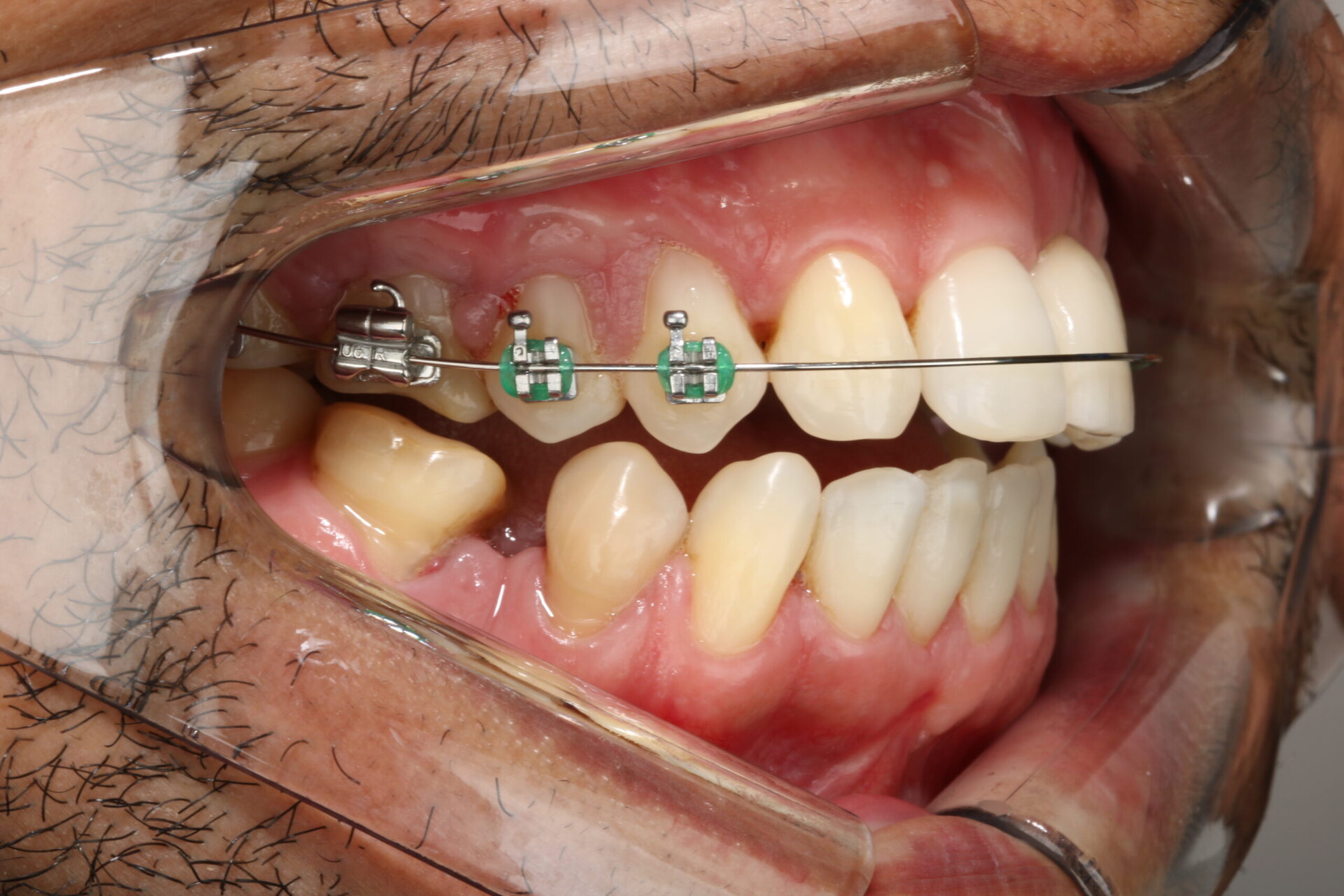
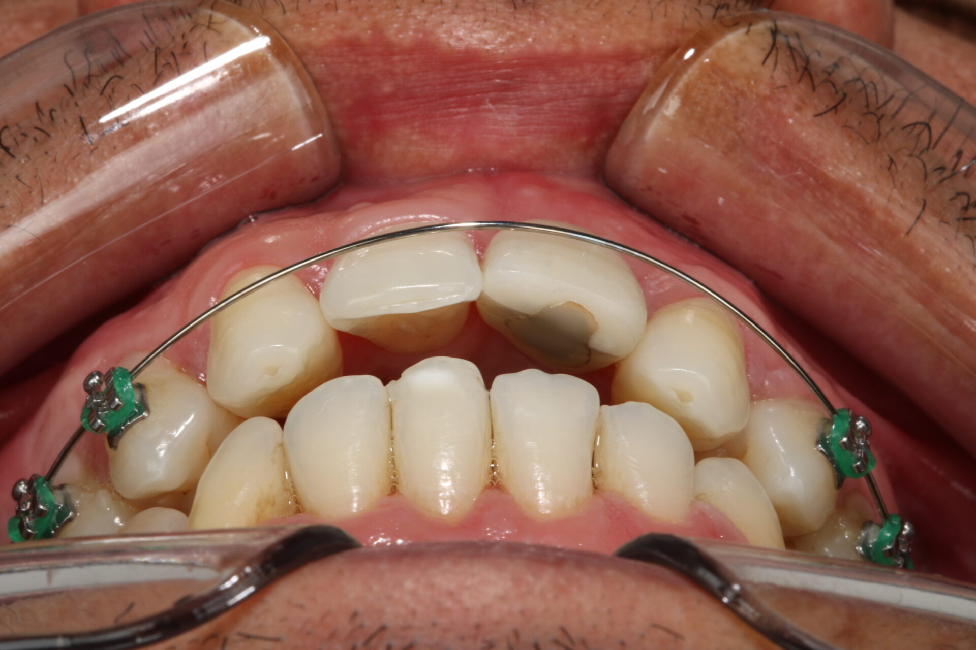
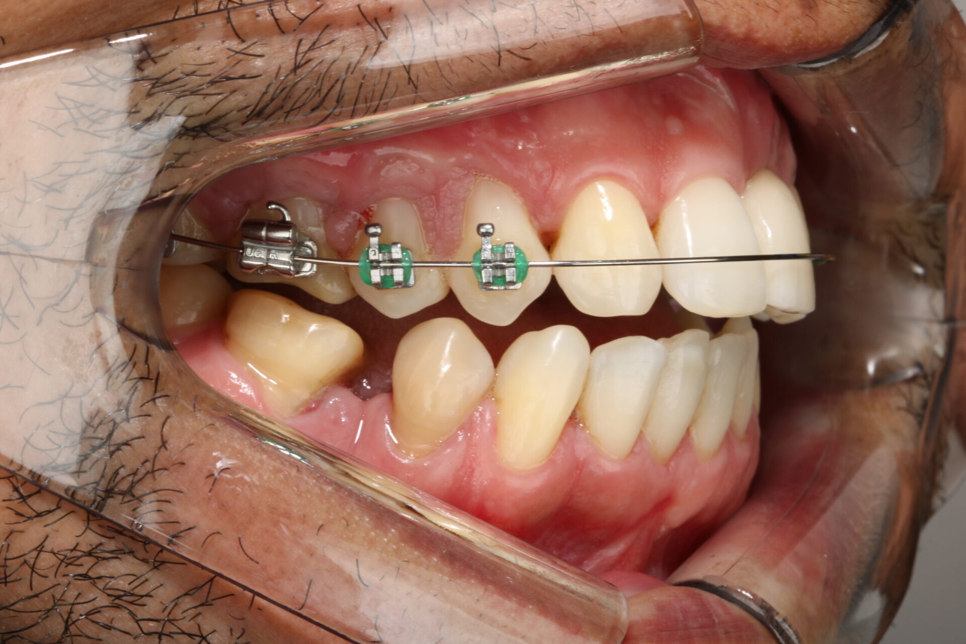
Você já sentiu a necessidade de realizar a movimentação de um determinado grupo de dentes sem interferir no posicionamento de outros? Você com certeza sabe da importância dos mini-implantes nessas situações, mas se sente inseguro em trabalhar com eles?
Na imersão em Mini-Implantes Ortodônticos você vai dominar essa técnica moderna! Entenda tudo sobre a biomecânica dos mini-implantes, saiba onde usar, quando indicá-los e como fazer a instalação de forma correta. Trabalhe com segurança e precisão realizando movimentações apenas onde for necessário, proporcione resultados rápidos e eficientes sendo minimamente invasivo.
Não fique limitado ao básico, tenha eficiência, previsibilidade e resultados rápidos no seu dia a dia clínico trabalhando com uma das técnicas mais modernas da odontologia.
Prof. Amanda Mazza

• Graduação em Odontologia pela Faculdade São Leopoldo Mandic
• Especialista em Ortodontia –São Leopoldo Mandic
• Mestranda em Ortodontia–São Leopoldo Mandic
• Mini residência em Mini-implantes ortodônticos pela UCLA (Universidade da Califórnia em Los Angeles)
• Mini residência em Ortodontia Avançada pela Universidade de Yonsei(Seul–Coreia do Sul)
Dia 1- O que são, para que servem e o que mudam com os mini-implantes;
Biomecânica por trás dos mini-implantes;
Dia 2 – Demonstração ao vivo;
Hands-On – Instalação em mandíbula de porco.
Legal, agora só falta um passo para você garantir o seu
VIP PASS INDIVIDUAL!
Legal, agora só falta um passo para você garantir o seu STANDARD PASS DUPLO
Legal, agora só falta um passo para você garantir o seu STANDARD PASS